의료 인공지능(AI) 플랫폼 전문기업 딥노이드(대표이사 최우식) 연구팀이 연구개발한 AI알고리즘을 통한“흉부 X-Ray진단 논문”과 ‘AI기반 척추 의료영상 판독 및 심시연계’초록을 각각 ‘2022 미국 시카고 방사선 의료기기 전시회(Radiological Society of North America, RSNA)에서 전 세계 의료진 대상으로 발표한다고 22일 밝혔다.
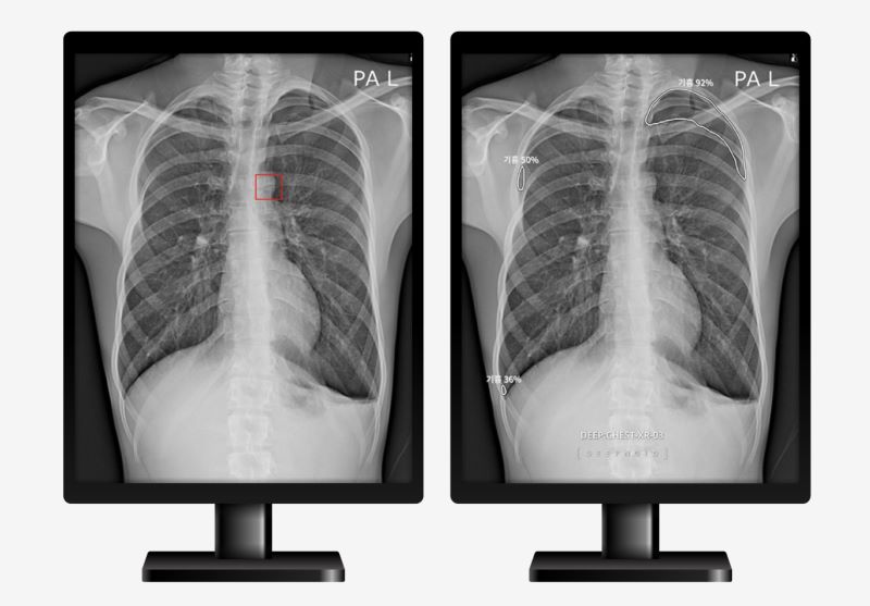
딥노이드 연구팀이 RSNA 2022에서 발표하는 논문은 네이처 파트너 저널(NPJ)에도 승인 받은 논문으로 AI가 의사를 도와 사람의 흉부 엑스레이(X-ray) 영상에서 이상 부위를 검출해 질환 진단 결정을 보조하는 딥체스트(DEEP:CHEST)를 고도화 시킨 AI 기반 흉부 영상진단서비스다.

이번 논문은 일반적인 질환 탐지뿐만 아니라 질환의 정확한 위치 정보까지도 진단결과에 포함했다. 또한 CAD 지원이 임상의의 진단성능에 미치는 영향을 추정하기 위해 별도의 시험을 진행했으며, 이를 통해 CAD를 사용했을 때의 임상의가 CAD를 사용하지 않았을 때에 비해 평균적으로 판독성능을 1.73배 개선했다는 결과를 보였다. 즉, 해당 CAD는 딥체스트의 높은 진단 성능을 보였을 뿐만 아니라, 임상 환경에서 임상의의 진단 성능에 긍정적인 영향을 미칠 수 있는 결과를 얻었다.
이번 논문을 기반으로 제품 고도화가 진행되어 흉부 엑스레이 영상에서 폐질환이 의심되는 부위와 위치까지 검출해 의사가 좀 더 빠르고 정확한 진단을 내릴 수 있게 되었다.
딥스파인 (DS-CF-01) RSNA 초록 발표는 일반적인 척추압박골절(Compression Fracture) 영상판독진단은 CT 혹은 MRI를 통해 진단을 하지만 딥스파인은 접근성이 뛰어나고 촬영빈도가 높은 X-ray 영상에 대한 것이다. 압박골절 의심부위를 검출해 의료환경의 효율성과 편의성을 높이기 위해 개발됐다. 딥스파인 진단보조솔루션은 건강보험심사평가원의 수가 심사에도 도움이 되고자 시범적으로 심사업무에 적용되었다. 이번 연구에는 기존 척추압박골절 검출 알고리즘에 압박률(Compression Ratio)를 AI 기반으로 산출해주어 의료진이 보다 정밀한 판독이 가능하게 제품을 고도화시켰다.
딥노이드의 의료AI솔루션 ‘딥AI’시리즈는 흉부 X-ray영상에서 이상부위(폐경화, 기흉 등)를 검출해 의료인의 진단결정을 보조하는 딥체스트, 뇌 신경두경부위를 촬영한 MRA 등 영상에서 이상부위(뇌동맥류등)를 검출하는 딥뉴로, 척추 MRI 및 X-ray 영상에서 이상부위(압박골절, 측만의 각도, 추간판 이상등)를 검출하는 딥스파인 등으로 구성돼 있다.
식약처 인허가를 받은 '딥팍스프로(DEEP:PACS PRO)'는 기존 PACS와 차별화해 딥AI 솔루션과 상호연동해 다질환검출 솔루션을 준비중에 있다. 주요 제품은 글로벌 진출을 위해 FDA신청을 준비하고 있으며 RSNA 와 세계 최대 IT 전시회 CES(Consumer Electronics Show) 2023에 참가해 해외 시장 공략에도 적극 나설 계획이다.
최우식 딥노이드 대표는 "이번 RSNA2022에서 전세계의 의료진을 대상으로 발표되는 논문은 네이처(NPJ)에도 게재된 연구논문으로 의료현장에서 폐질환 진료를 좀 더 효과적으로 진단할 수 있는 동시에 질환의 위치까지 한 번에 제공해 잠재적인 질환까지 도 체크할 수 있는 기회가 되었다”며 “딥노이드는 앞으로도 다양한 질환의 작은 가능성까지 AI와 데이터를 기반해 조기에 발견하고 치료에 도움되는 의료AI서비스를 지속적으로 고도화시킬 것” 이라고 말했다.
한편, 지난 1915년 설립돼 올해 108회재를 맞이한 RSNA는 오는 11월 27일~30일까지 4일간 시카고 맥코믹 전시장(McCormick Place Convention Center)에서 개최된다. 북미 최대이자 글로벌 최대규모의 영상의학회로 매년 미국 시카고에서 영상의료기기에 대한 최신 트렌드와 신기술을 공유하는 행사로 개최되고 있다.
관련기사
- 식약처 인증 획득한 척추부위 의료영상 AI솔루션 ‘딥스파인’
- 딥노이드, X4 AI컨퍼런스·노코드 경진대회 성료
- 코딩 한 줄 못해도 AI 개발자 된다...노코드 해커톤대회 개최
- 딥노이드, ‘X4 AI 컨퍼런스 2022’에서 최신 의료ㆍ산업 AI 솔루션 공개
- 식약처 인증 받은 의료영상저장전송시스템...글로벌 진출 박차
- 국내 의료 AI 솔루션, 글로벌 시장 진출 나선다
- 노코드 플랫폼 '딥파이' 활용 AI 교육 인기몰이
- 딥노이드, 의료·산업 관련 AI 시각지능 특허 5개 등록
- 컴퓨터 비전으로 범죄 예방…폭발물·유출 정보까지 잡아내
- 인공지능으로 군 장병 의료 서비스 품질↑
- “한국인, AI 영향력 세계에서 가장 긍정적으로 평가”
- [CES 2023] 의료·산업·노코드 AI 솔루션으로 세계 시장 노리는 ‘딥노이드’
- 교육현장에서 활약하는 노코드플랫폼·AI 교육서비스
- 성장하는 의료AI, 매출 신장 청신호
- 딥노이드-메디허브, 맞춤형 의료 컨설팅과 의료AI 결합한 플랫폼 사업 추진
- 개도국 디지털 전환에 주목받는 국산 AI 기술
